Este fantasma se crea a partir de datos de pacientes reales y se fabrica con la última tecnología. Los huesos, vasos y tejidos blandos se muestran auténticamente con valores de TC realistas para todos los tejidos a un voltaje de tubo de 120 kVp en el TC. Si el maniquí se va a utilizar principalmente con otros voltajes de tubo (por ejemplo, 100 kVp), la calibración de los valores de CT se puede ajustar en consecuencia si es necesario. El fantasma proporciona contrastes de tejido realistas en las imágenes de rayos X. Los espacios aéreos se llenan con un material con aproximadamente -80 unidades Hounsfield.
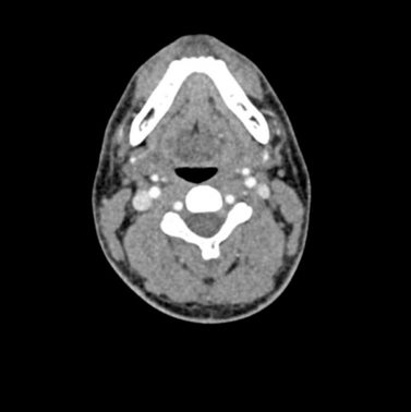
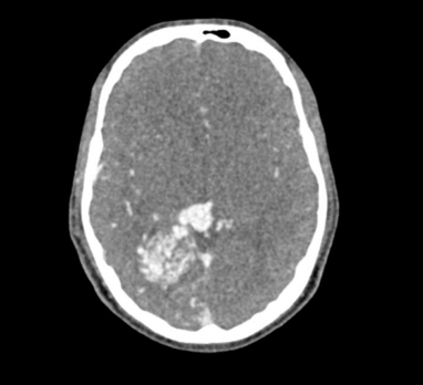
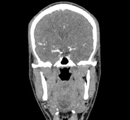
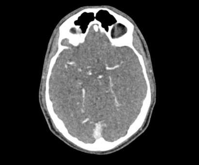
El maniquí de cabeza proporciona una simulación extremadamente realista de una angiografía por TC de cabeza y cuello (con contraste arterial) de un paciente con una malformación arteriovenosa en el lado derecho. El maniquí se entrega fiel a la escala original e incluye la columna cervical hasta la placa base de la quinta vértebra cervical.
Tamaño: 19x23x27cm
Sale Ends In:
Phantom de cabeza y cuello para TC, rayos X y radioterapia
$ 0 IVA INCLUIDO


















